- 1.Bone marrow / Hematopoietic system
- (2)Megaloblastic anemia
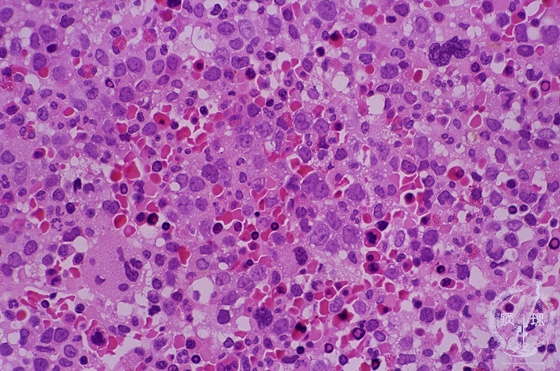
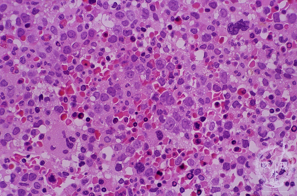
Microscopic image (H&E high power view): Although an anemia is found in the peripheral blood, bone marrow shows marked hypercellularity with increased erythroblasts forming small aggregates. Megaloblasts have a relatively fine chromatin and the marked nucleoli (arrows). This type of anemia occurs due to the exhaustion of Vitamin B12 or folic acid by insufficient intake, malabsorption and/or excessive consumption.
Click the image to see the enlarged image.











