- 1.Bone marrow / Hematopoietic system
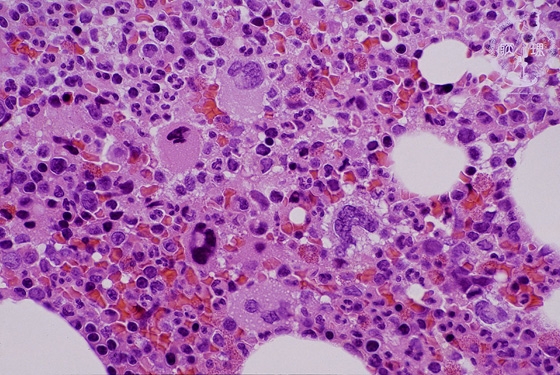
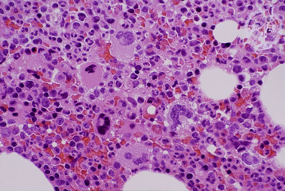
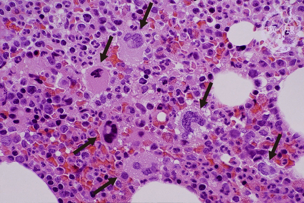
- ★(3) Idiopathic thrombocytopenic purpura
Microscopic image (H&E high power view): Full ranges of hematopoietic cells are found without an increase of blasts. There is an increase of megakaryocytes in the marrow corresponding to the destruction of platelets in the peripheral blood. (In this picture at least 6 megakaryocytes are observed (arrows). In normal marrow, one to two megakaryocytes are usually found in the field with the same magnification.)
Click the image to see the enlarged image.











