- 1.Bone marrow / Hematopoietic system
- š(8)Multiple myeloma
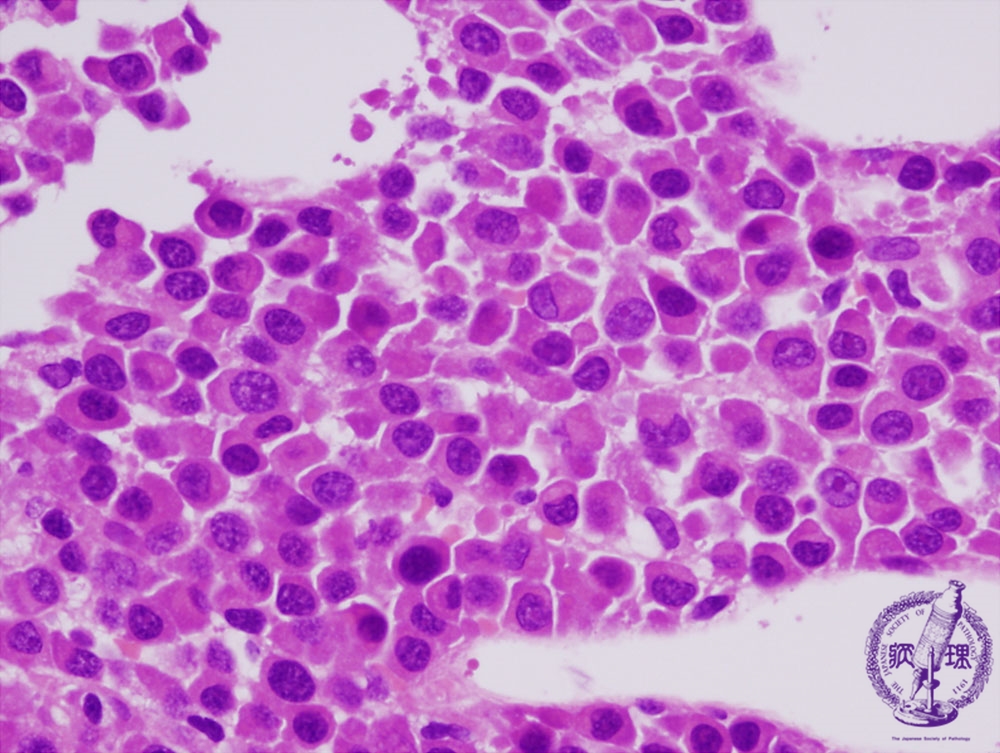
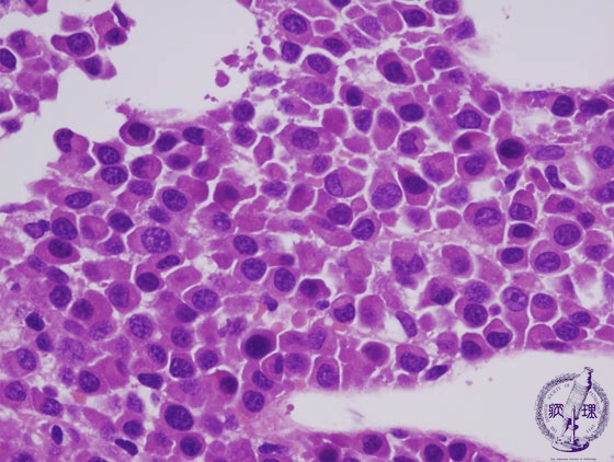
Microscopic image (H&E high power view): The proliferating cells have a perinuclear clearing with eccentrically placed nuclei. These cells have gcartwheelh arrangement of heterochromatin in the nuclei, which is the condensation of chromatin towards the periphery of the nucleus. The tumor cells have enlarged nuclei with prominent nucleoli.
Click the image to see the enlarged image.









