- 2.Lymph node
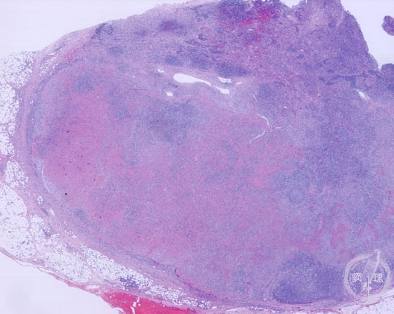
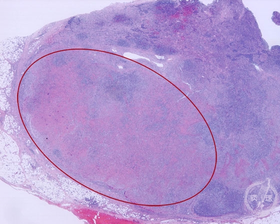
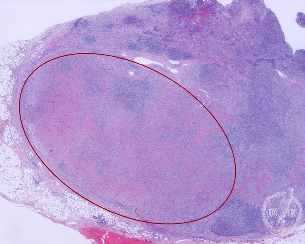
- (1)Histiocytic necrotizing lymphadenitis
Microscopic image (H&E low power view): Centrally, there is confluent necrosis (circle) with loss of clear lymph node architecture. Disease characteristically affects young patients with a predilection for cervical lymph nodes. Symptoms include fever and rash. and disease typically resolves spontaneously within 2 to 3 months.
Click the image to see the enlarged image.












