- 2.Lymph node
- (2)Tuberculous lymph nodes
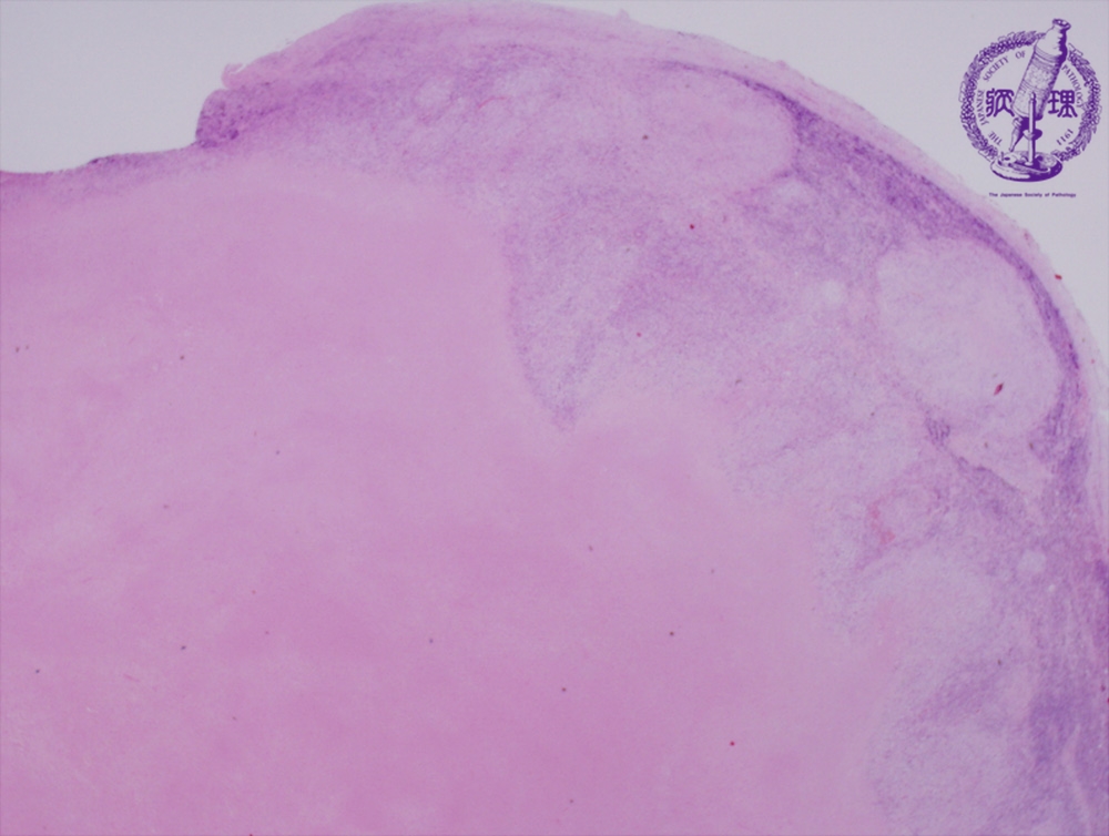
Microscopic image (H&E low power view): Pale eosinophilic regions are visible within affected lymph nodes (image, lower left). These correspond to homogenous necrotic zones devoid of structure and represent areas of caseous necrosis.
Click the image to see the enlarged image.













