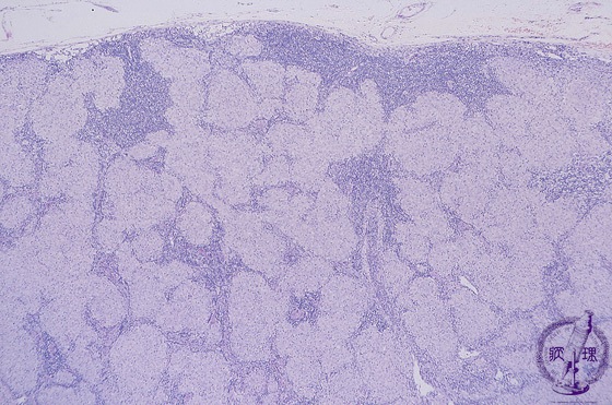
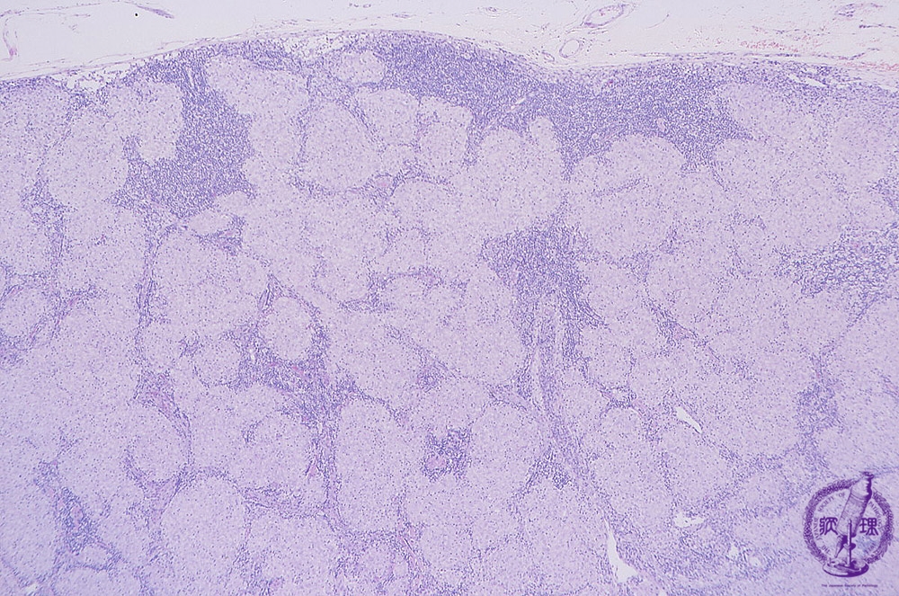
Microscopic image (H&E low power view): Within lymph nodes, numerous pale pink epithelioid histiocytes are seen in band like and nodular formations. Nodules are of relatively uniform size.

Click the image to see the enlarged image.

  • There is no guidance by arrows.