• 2.Lymph node
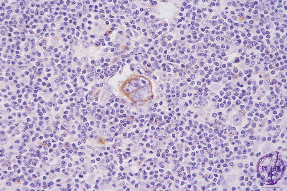
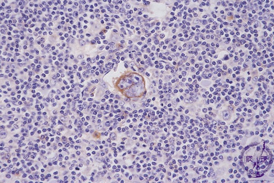
  • š(4) Hodgkin lymphoma (Nodular sclerosis, mixed cellularity)

Microscopic image (CD30 immunostaining): Large Reed-Sternberg cells are CD30 positive.

Click the image to see the enlarged image.

  • There is no guidance by arrows.