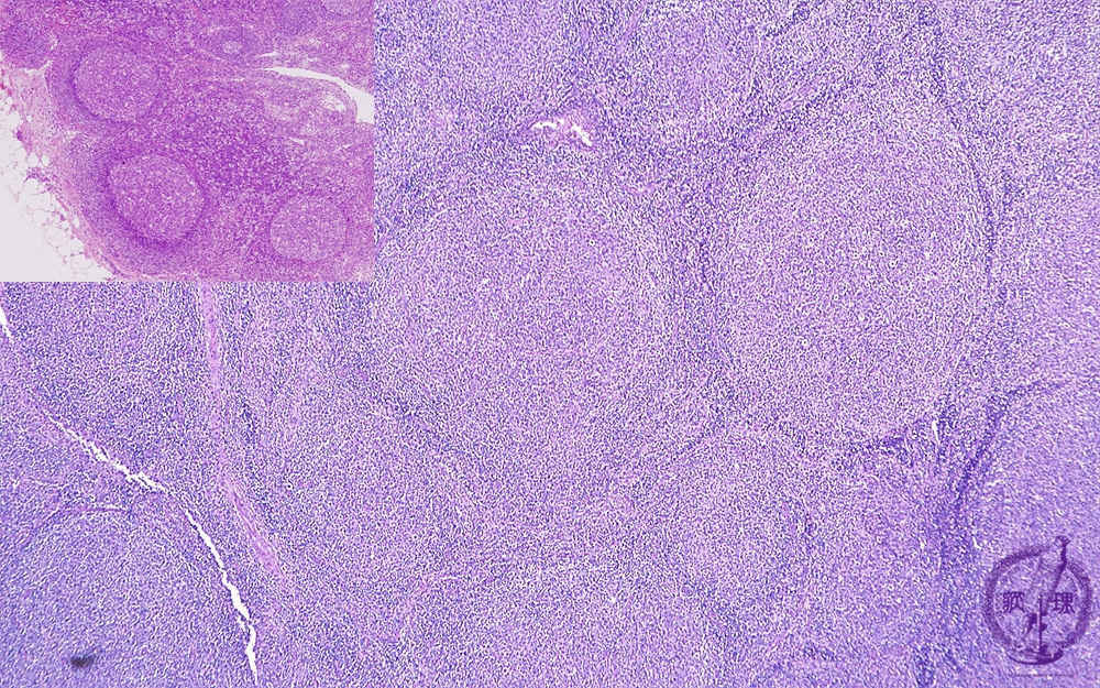
- 2.Lymph node
- (5)Follicular lymphoma
Microscopic image (H&E low power view): There are numerous large follicles with indistinct borders and these typically efface the entire lymph node architecture. These neoplastic follicles are variably spaced and may be confluent. In contrast, non-neoplastic interfollicular spaces are typically wide (upper left inset).
Click the image to see the enlarged image.










