- 2.Lymph node
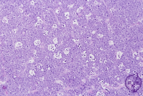
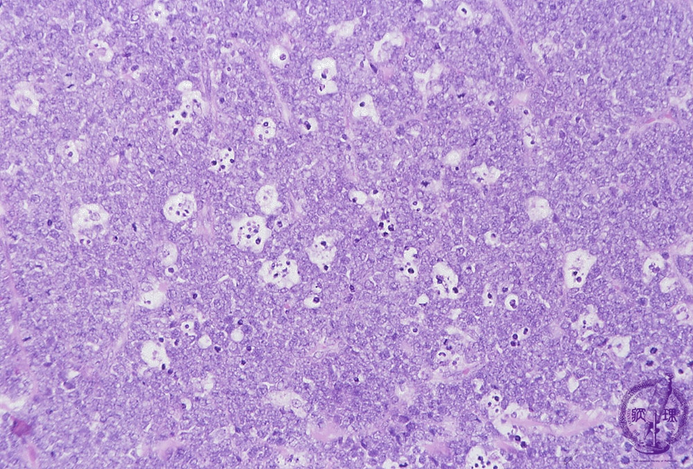
- (7)Burkitt lymphoma
Microscopic image (H&E low power view): Amongst the neoplastic lymphocytes are scattered tangible body macrophages. The clear cytoplasm of the latter cells juxtaposed with densely packed, darkly staining neoplastic lymphocytes conjures images of a gstarry skyh, an apt term which is often used to describe Burkitt lymphoma.
Click the image to see the enlarged image.









