- 2.Lymph node
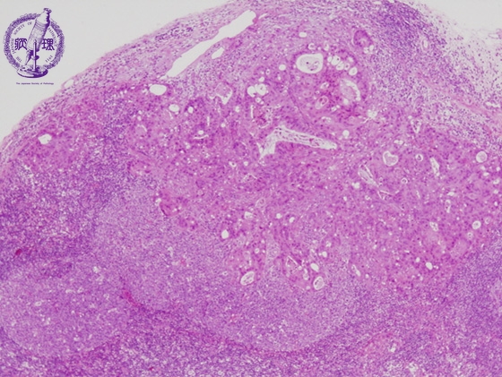
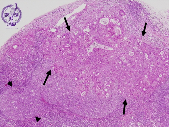
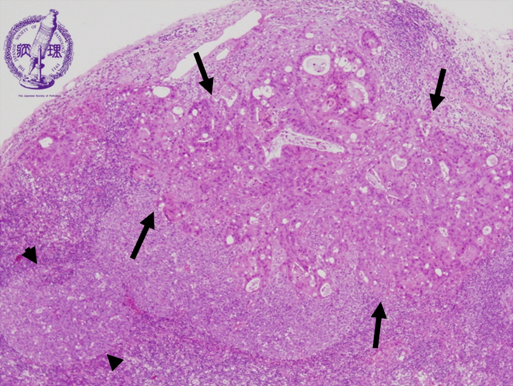
- ★(9)Cancer metastasis into the lymph nodes
Microscopic image (H&E low power view): Nests of gland-forming adenocarcinoma (colon cancer) are found in the subcapsular sinus (arrows). The lymph node follicular structure is relatively preserved and follicles are often rather large (arrow heads). In general, cancer metastasizes via the lymphatic system. Consequently, metastatic disease is typically first seen in the subcapsular sinus where the lymph fluid enters the lymph node.
Click the image to see the enlarged image.












