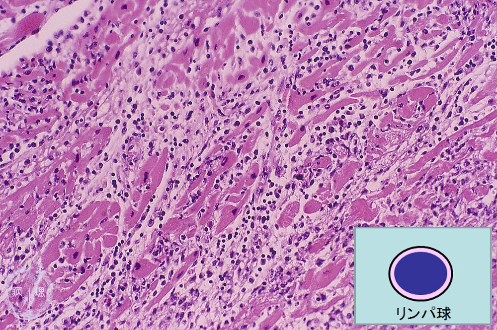
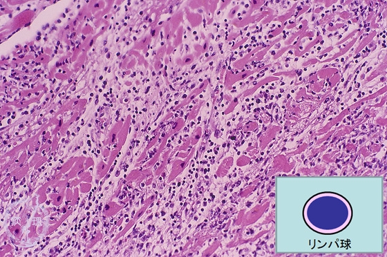
Microscopic image (HE, low power view): There is a marked inflammatory cell infiltrate consisting mainly of lymphocytes. Islands of entrapped myocardium show prominent necrotic change.

Click the image to see the enlarged image.

  • There is no guidance by arrows.