- 3.Cardiovascular system
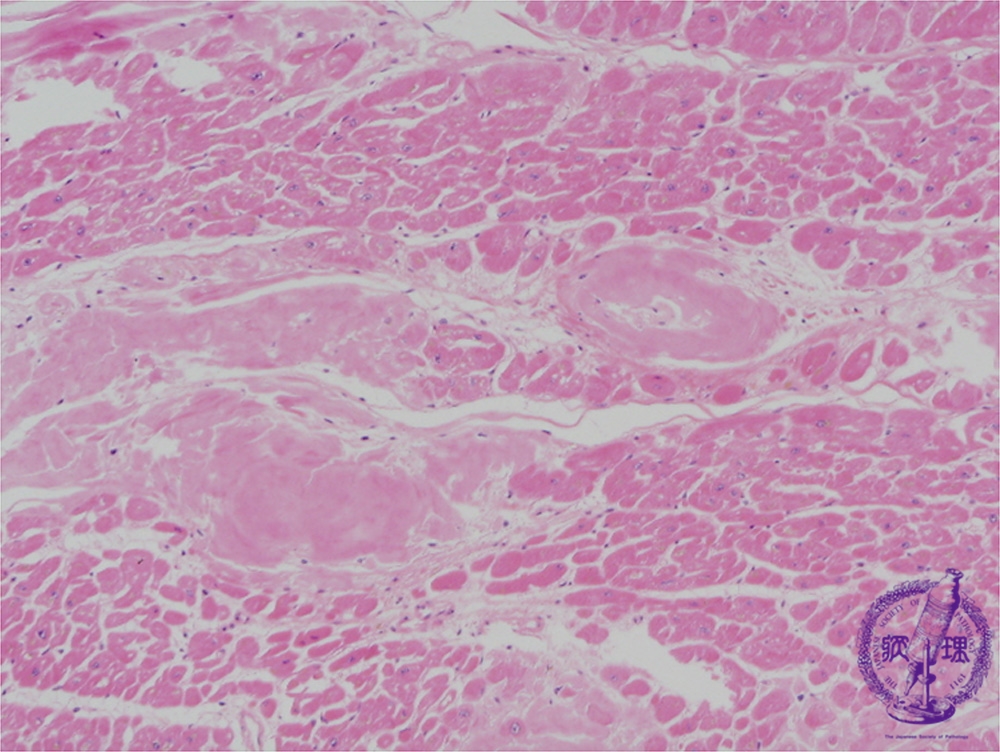
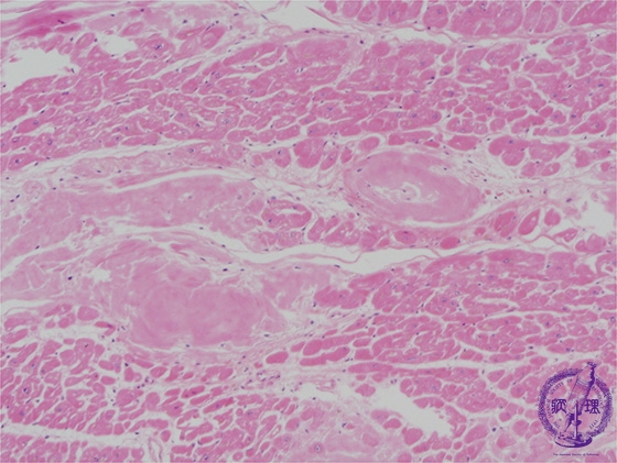
- (8)Cardiac amyloidosis
Microscopic image (HE, low power view): Perivascular or perimyocyte interstitial deposition of an eosinophilic, amorphous substance (amyloid).
Click the image to see the enlarged image.
Microscopic image (HE, low power view): Perivascular or perimyocyte interstitial deposition of an eosinophilic, amorphous substance (amyloid).
Click the image to see the enlarged image.