- 3.Cardiovascular system
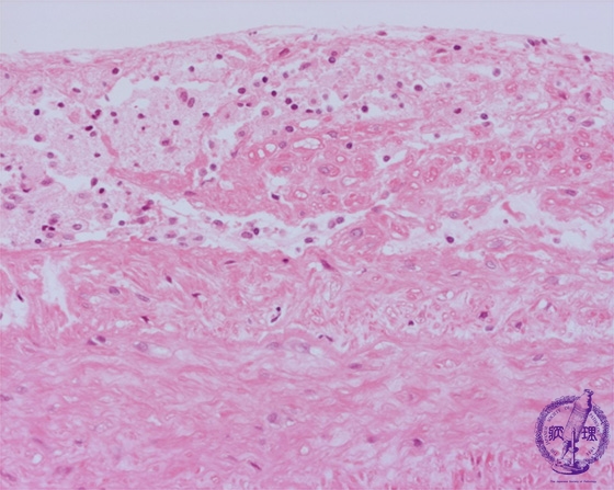
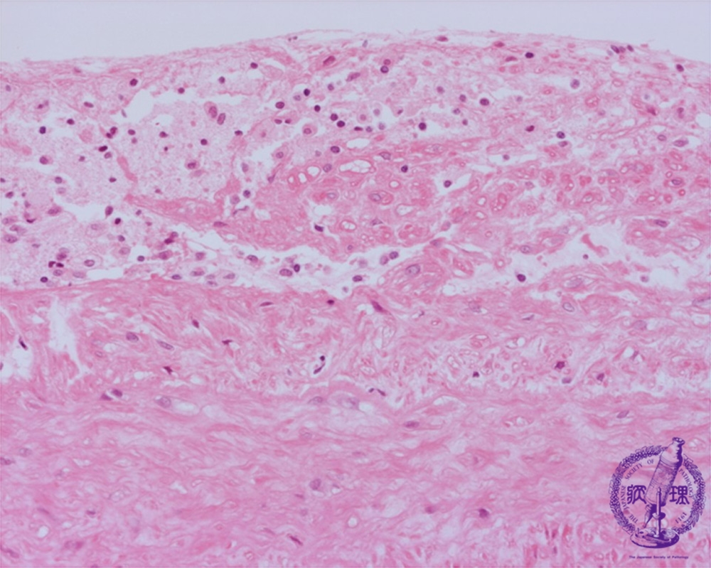
- ★(9)Atheroslerosis (aortic atherosclerosis) li>
Microscopic image (HE, high power view): Sub-endothelial lipid accumulation within foamy (lipid laden) macrophages (blue circles). The elastic lamellae of the tunica media is partially effaced (red line).
Click the image to see the enlarged image.


















