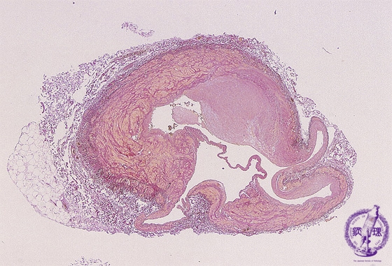
Microscopic image (EVG, low power view): Histopathology of varicose vein. There is venous wall thickening, fibrosis and focal aneurysm composed of vascular wall dilatation.

Click the image to see the enlarged image.

  • There is no guidance by arrows.