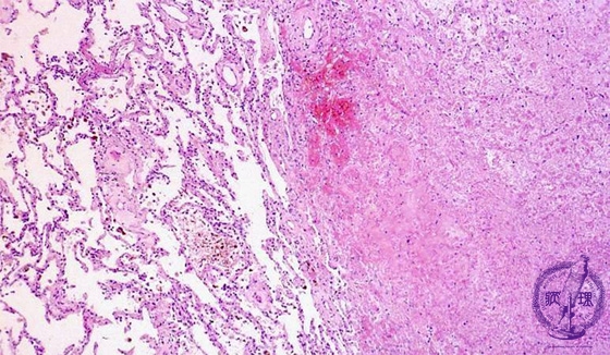
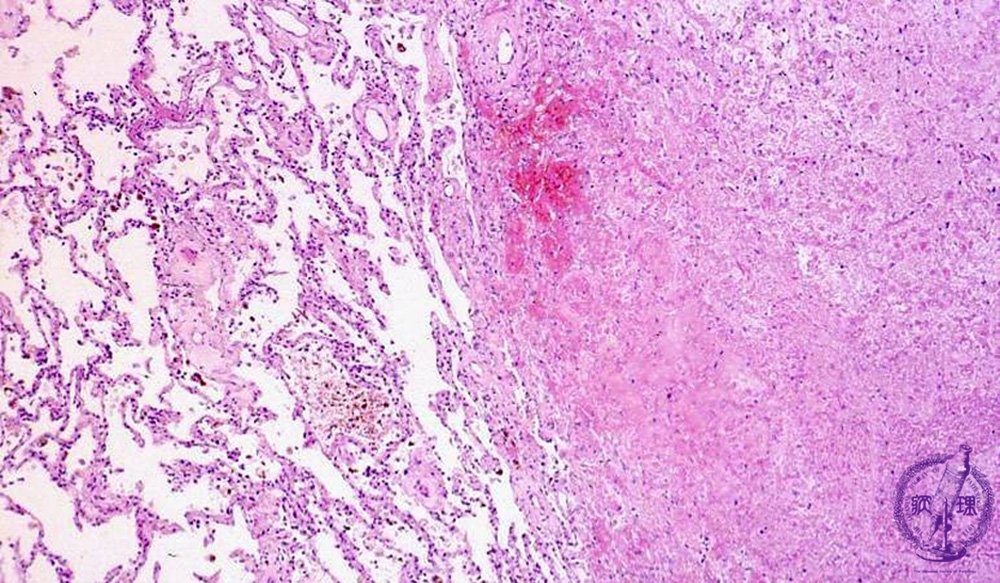
- 5.Lung, Pleura
- (2)Hemorrhagic infarct of lung
Microscopic view (HE stain, low power view): On the right is an infarcted area associated with alveolar hemorrhage (arrow). Despite parenchymal cell necrosis, the outline of alveoli and nuclei remain faintly visible but nuclear staining is reduced (coagulative necrosis).
Click the image to see the enlarged image.












