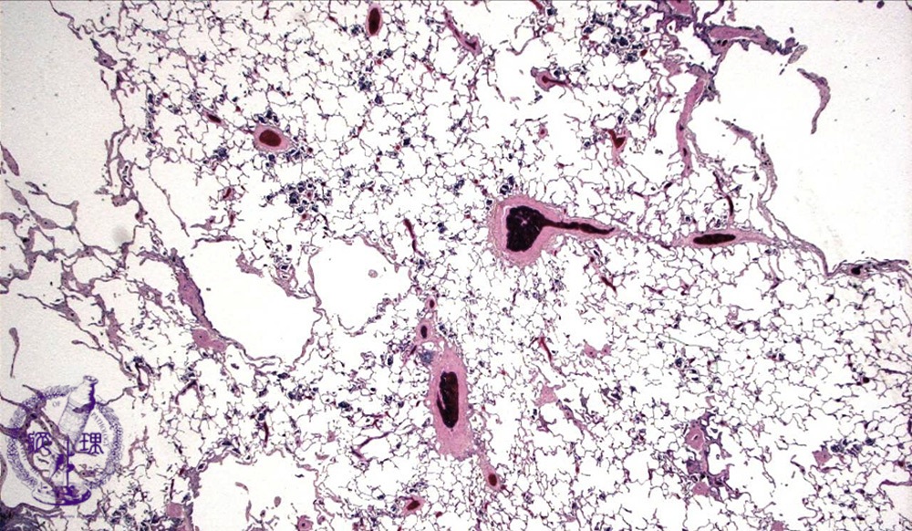
Microscopic view (HE stain, low power view): Scattered irregularly dilated air spaces are seen due to peripheral respiratory bronchiole destruction.

Click the image to see the enlarged image.

  • There is no guidance by arrows.