- 5.Lung, Pleura
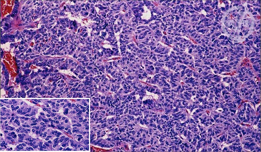
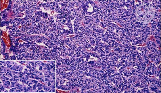
- (16)Carcinoid tumor
Microscopic view (HE stain, Middle-power-view): Tumor cells are small, relatively uniform and organized in a trabecular or ribbon-like pattern. The delicate stroma contains rich capillaries, characteristic of the endocrine tissue of origin. Tumor cells are relatively uniform, have abundant cytoplasm and contain a round to oval nuclei with finely-granular chromatin and indistinct nuclei. Mitoses are rare.
Click the image to see the enlarged image.









