- 7.Oral, Salivary gland
- (2)Mucocele
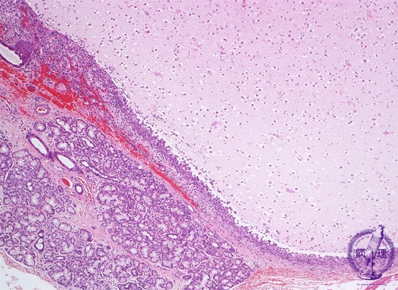
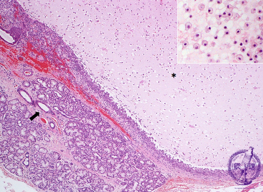
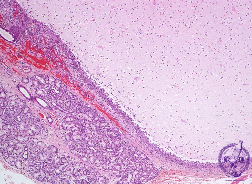
Microscopic finding (HE stain, low-power view) : Adjacent to the minor salivary gland (*), a cyst containing mucoid material and mucophages (mucous laden macrophages) has formed within the granulation tissue (upper right). Ductal dilatation is observed within the salivary gland (arrow).
Click the image to see the enlarged image.











