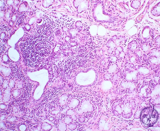
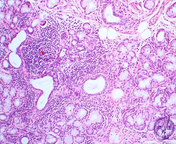
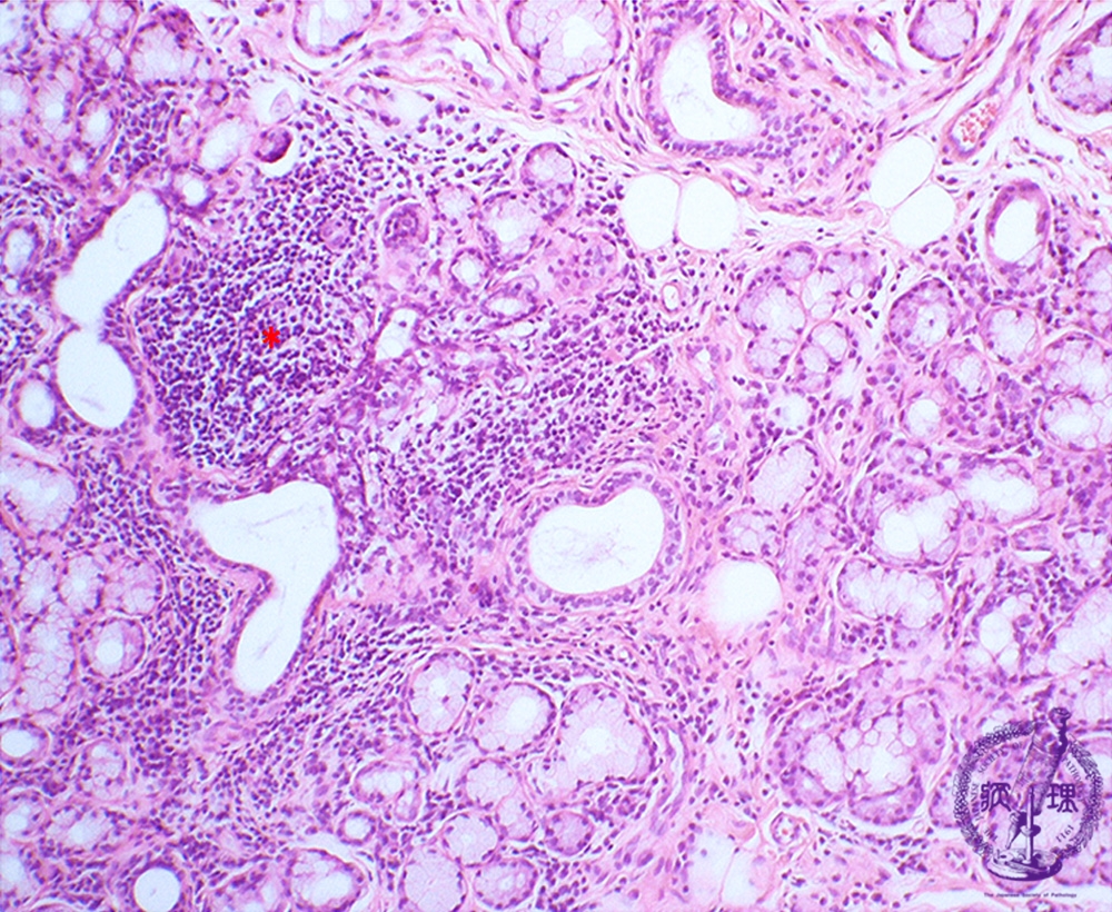
- 7.Oral, Salivary gland
- ★(4)Sjögren's syndrome
Microscopic finding (HE stain, low-power view):Labial gland biopsy. Lymphocytes (*), predominantly composed of T cells, focally infiltrate around interlobular ducts of minor salivary glands. In the background, there is acinar atrophy and destruction with (associated?) ductal dilatation.
Click the image to see the enlarged image.











