- 8.Esophagus, Stomach
- (1)Barrett esophagus
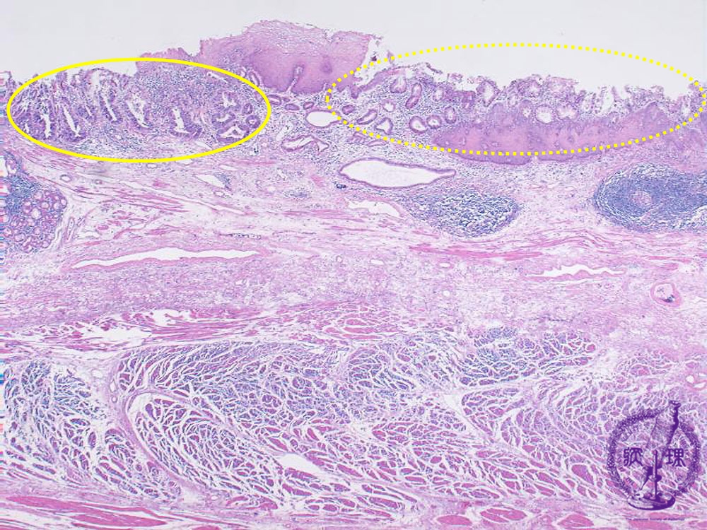
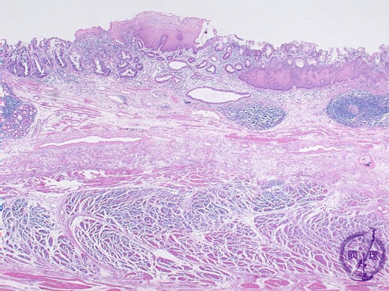
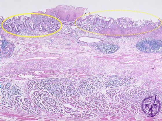
Microscopic view (H&E stain, low power): Barrett esophagus (right, dotted line) and adenocarcinoma (left, solid line)
Click the image to see the enlarged image.
Microscopic view (H&E stain, low power): Barrett esophagus (right, dotted line) and adenocarcinoma (left, solid line)
Click the image to see the enlarged image.