- 8.Esophagus, Stomach
- (2)Esophageal varices
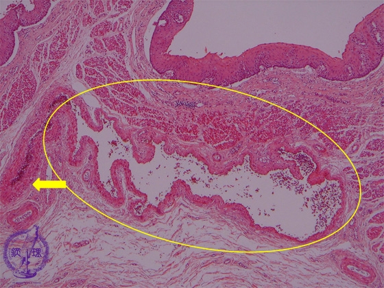
Microscopic view (H&E stain, low power): Esophageal submucosal veins are strikingly dilated (circle) and their walls are thickened (arrow).
Click the image to see the enlarged image.
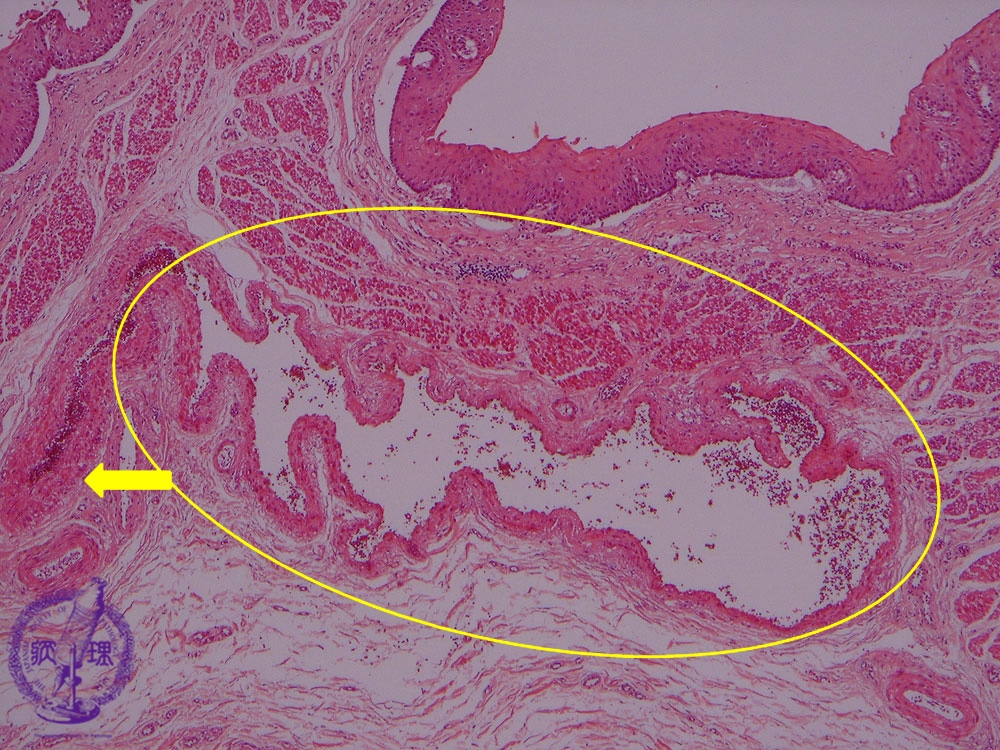
Microscopic view (H&E stain, low power): Esophageal submucosal veins are strikingly dilated (circle) and their walls are thickened (arrow).
Click the image to see the enlarged image.