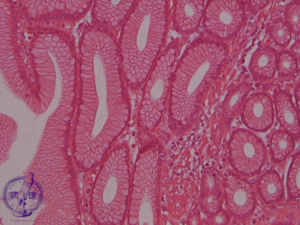
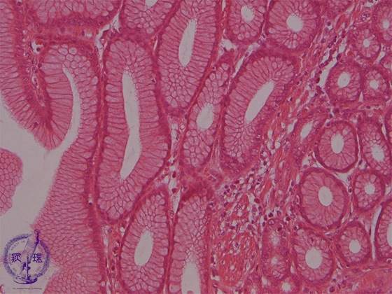
Microscopic view (H&E stain, intermediate power): The proliferating glands are derived from hyperplastic crypts within the foveolar epithelium.

Click the image to see the enlarged image.

  • There is no guidance by arrows.