- 8.Esophagus, Stomach
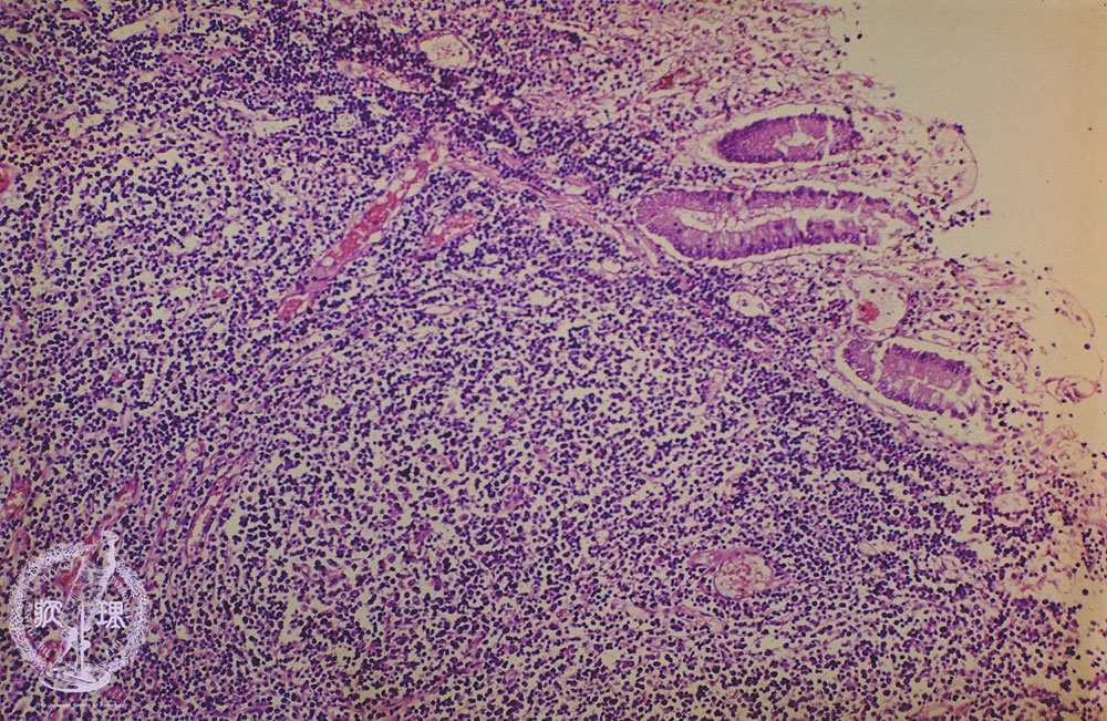
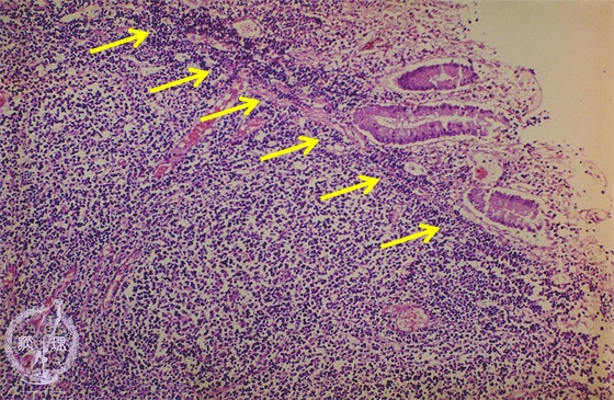
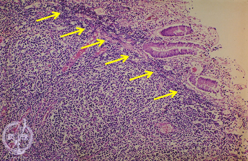
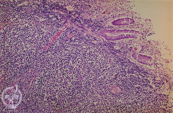
- ★(9)Malignant lymphoma of the stomach (MALT lymphoma)
Microscopic view (H&E stain, intermediate power): The mucosa is displaced due to proliferation of atypical lymphocytes.
Click the image to see the enlarged image.
Microscopic view (H&E stain, intermediate power): The mucosa is displaced due to proliferation of atypical lymphocytes.
Click the image to see the enlarged image.