- 9.Small intestine, Large intestine
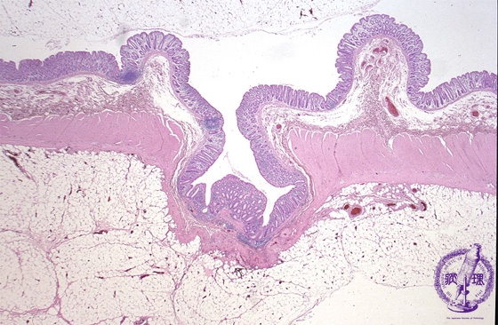
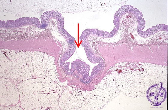
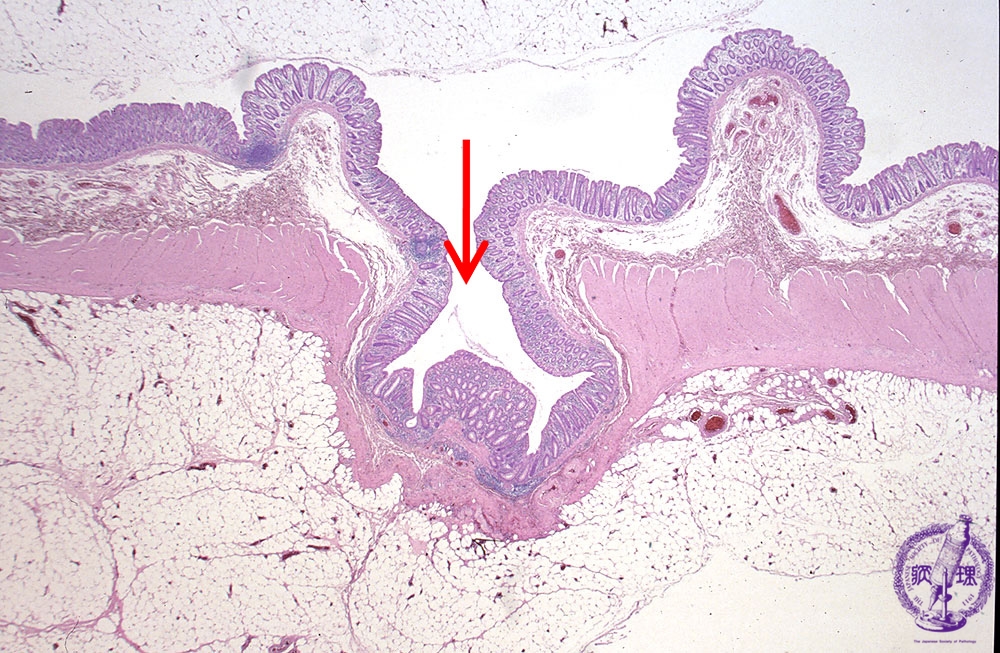
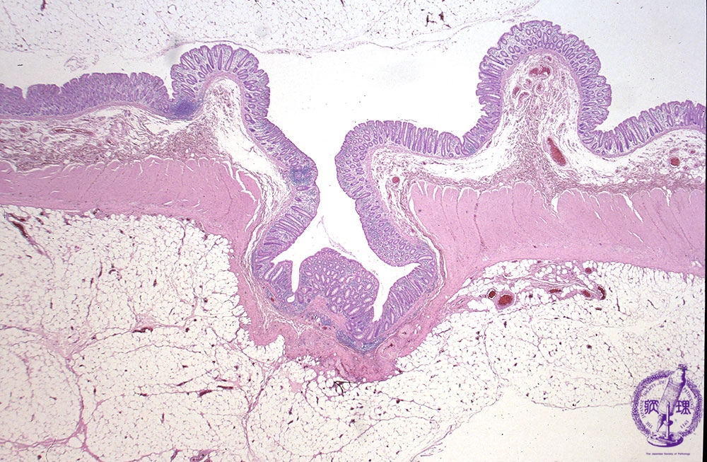
- (2)Diverticulosis of large intestine (diverticulitis) >
Microscopic view (H&E stain, low power): Both mucosa and the underlying muscularis propria protrude through the external bowel wall.
Click the image to see the enlarged image.












