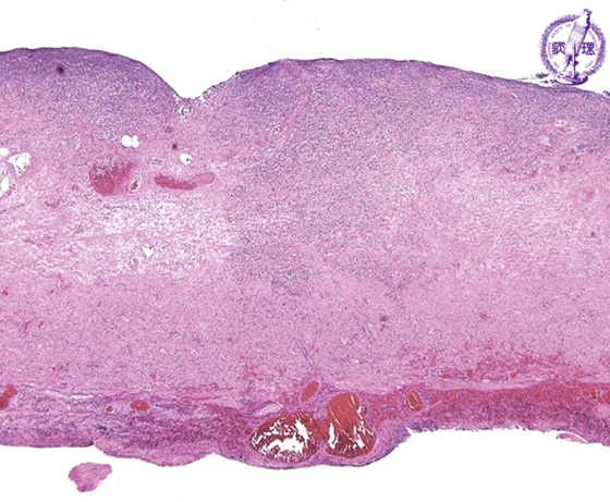
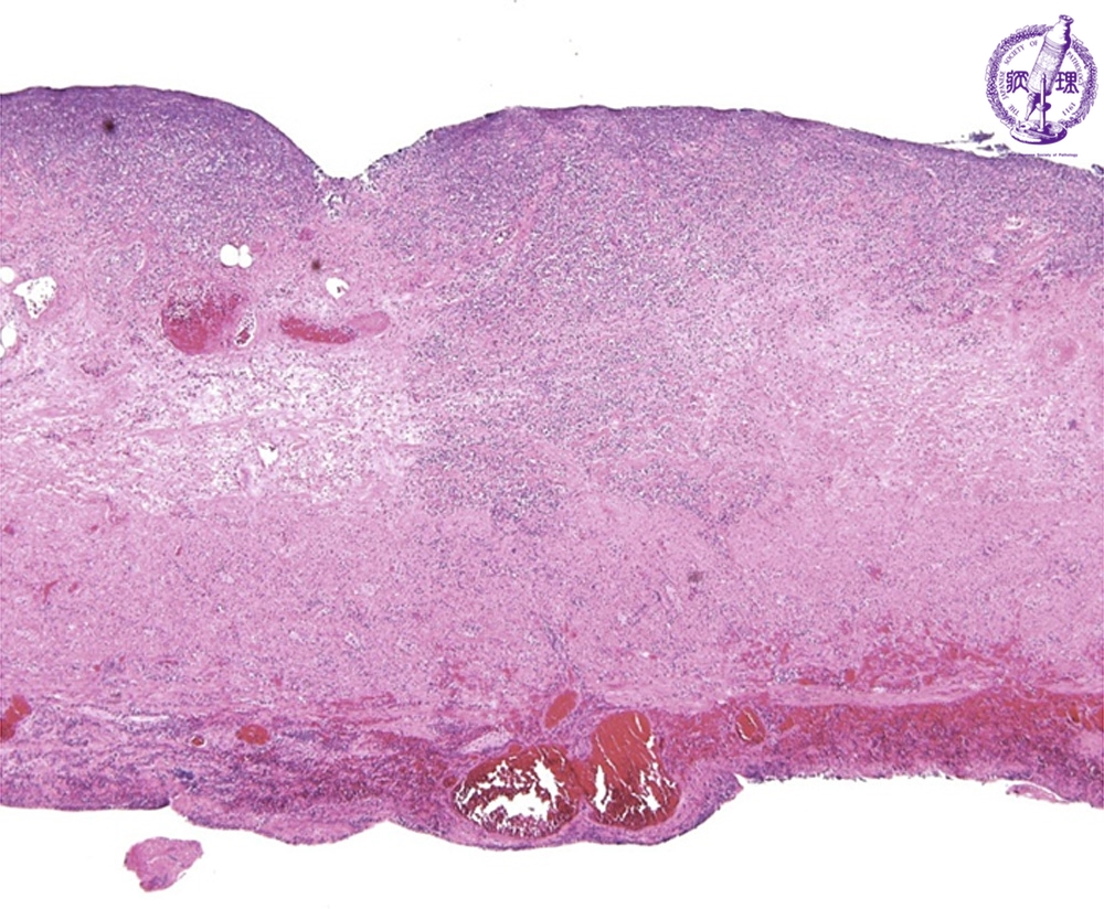
Microscopic view (H&E stain, low power): The epithelium is denuded and there is marked severe inflammation. Inflammation and hemorrhage spans the entire appendix wall.

Click the image to see the enlarged image.

  • There is no guidance by arrows.