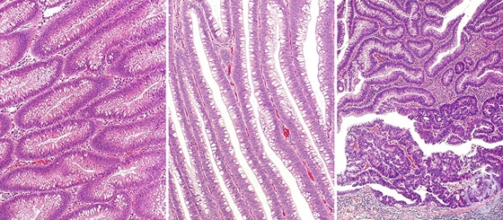
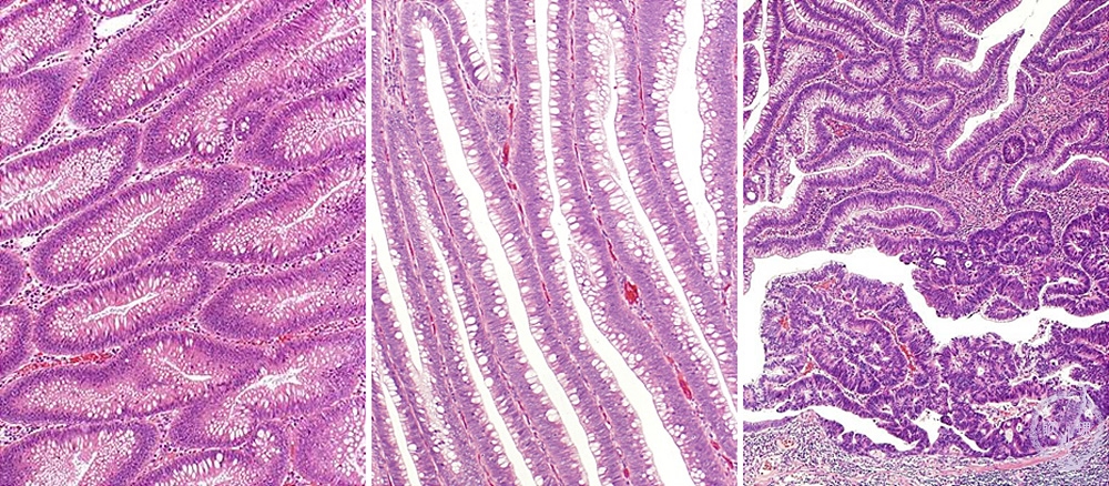
Microscopic view (H&E stain, low power): Tubular adenoma (left), villous adenoma (middle), carcinoma arising in a tubular adenoma (right)

Click the image to see the enlarged image.

  • There is no guidance by arrows.