- 10.Liver
- (6)Schistosomiasis japonica
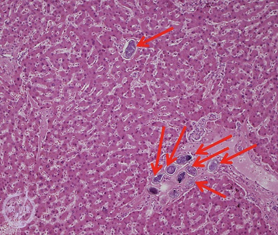
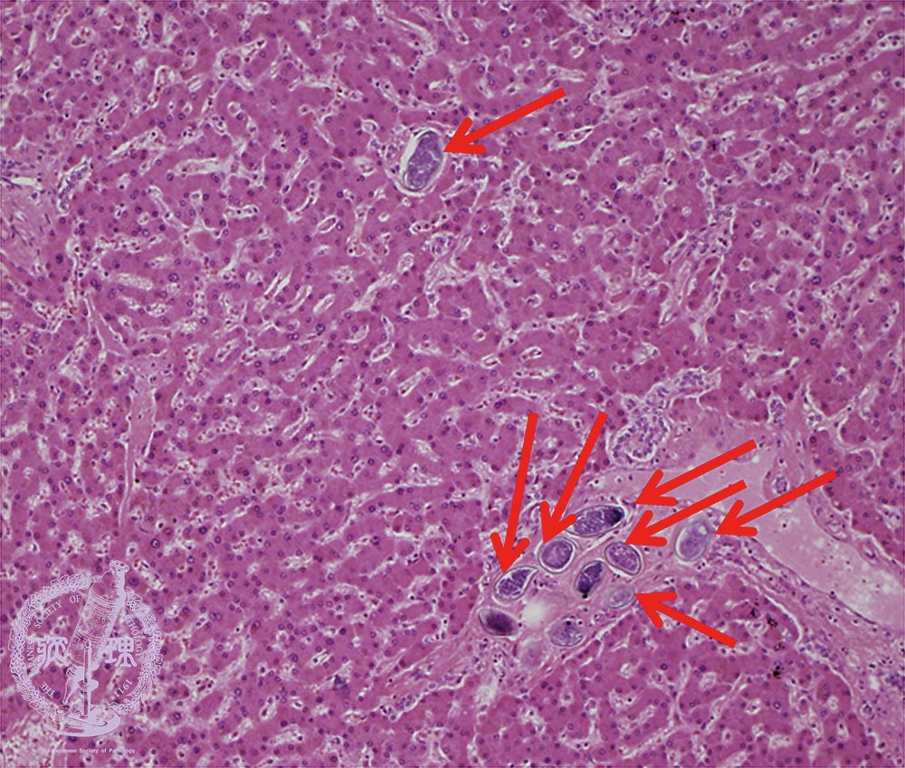
Microscopic image (HE stain, intermediate power) Parasite eggs are found in the portal and central veins. Fibrosis is inconspicuous.
Click the image to see the enlarged image.
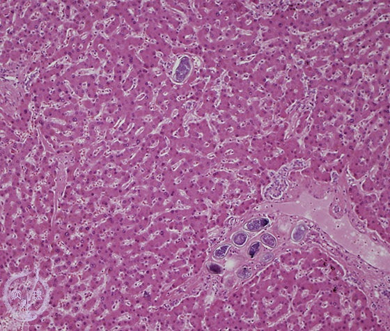
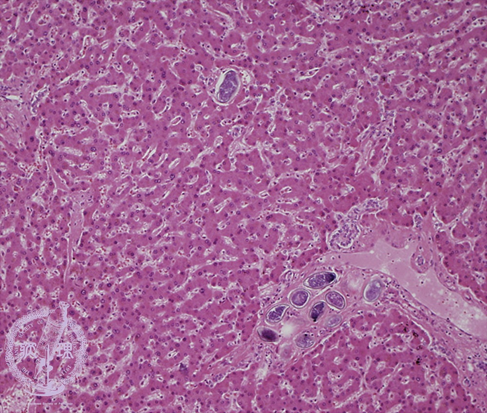
Microscopic image (HE stain, intermediate power) Parasite eggs are found in the portal and central veins. Fibrosis is inconspicuous.
Click the image to see the enlarged image.