• 10.Liver
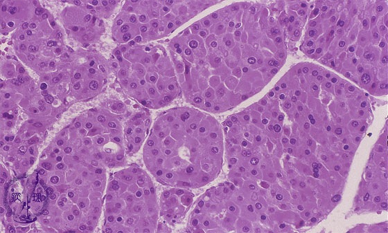
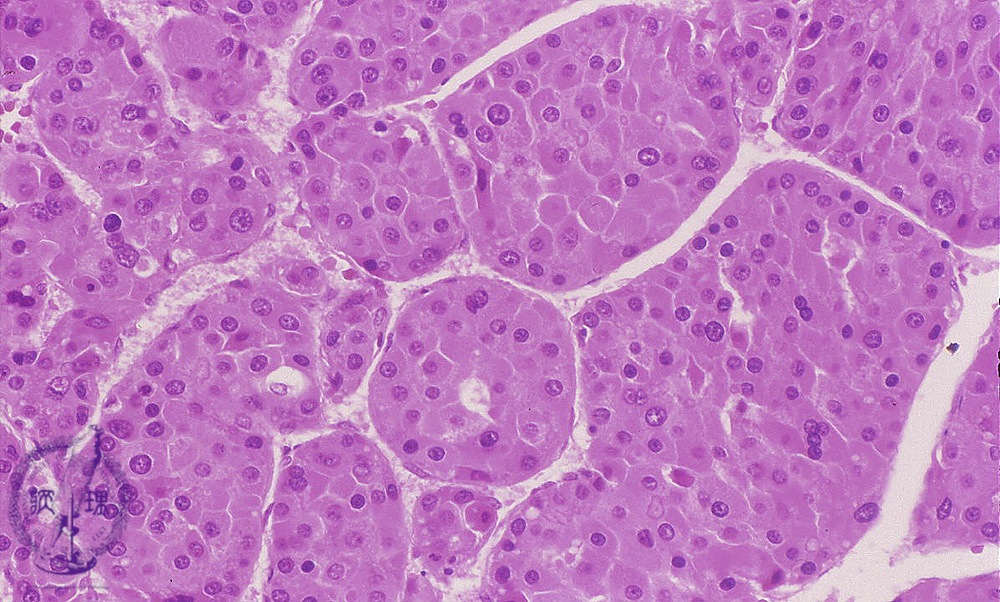
  • š(12)Hepatocellular carcinoma

Microscopic finding (HE stain, high power view): Classical hepatocellular carcinoma with trabecular pattern resembling hepatocytes. Vascular channels separate and surround the individual tumor trabeculae.

Click the image to see the enlarged image.

  • There is no guidance by arrows.