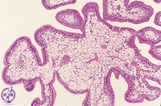
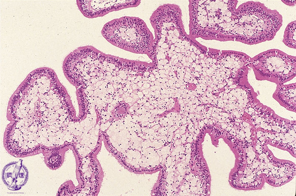
icroscopic image(HE stain, intermediate power)Foam cells proliferate and form sheet-like aggregates within the subepithelial stroma.

Click the image to see the enlarged image.

  • There is no guidance by arrows.