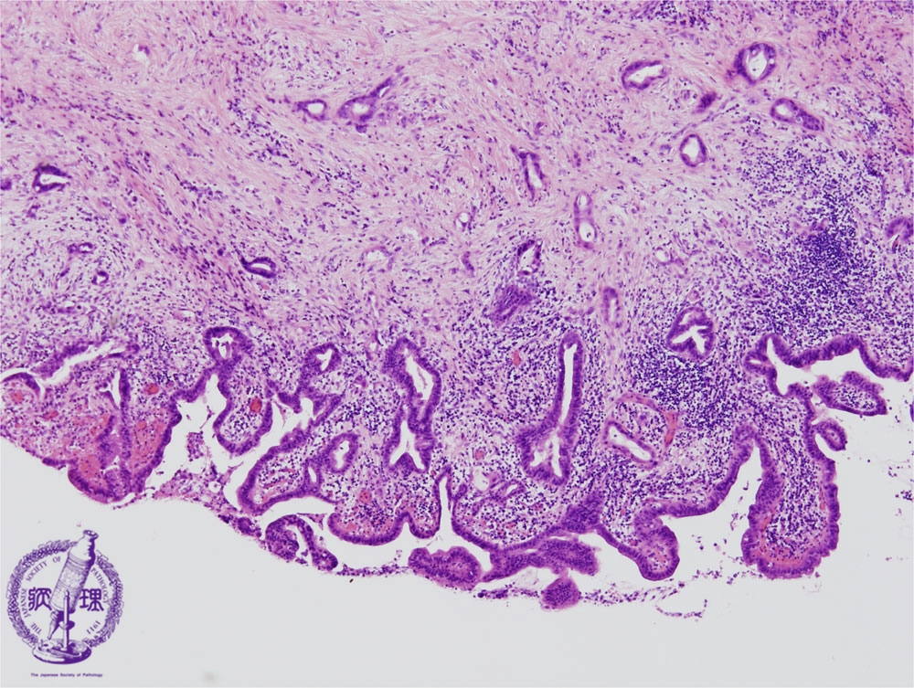
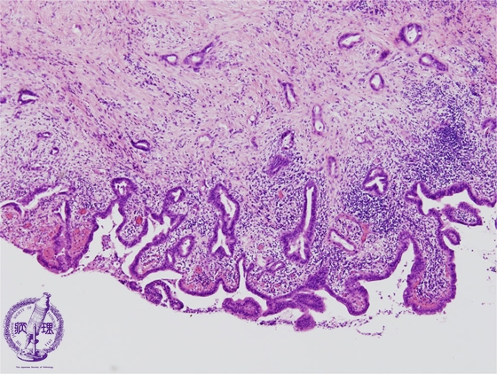
Microscopic image (HE stain, mid-power view): Cancer infiltrates diffusely throuought the mucosa and into the wall.

Click the image to see the enlarged image.

  • There is no guidance by arrows.