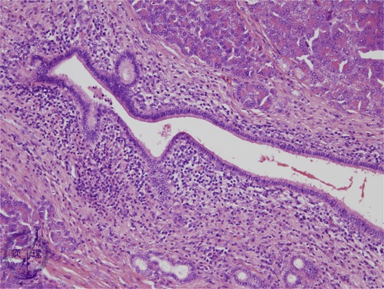
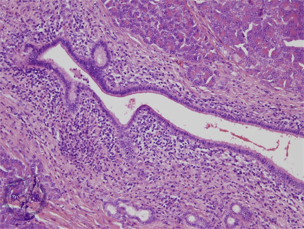
Microscopic findings(HE stain, mid-power):There is marked fibrosis and lymphocytic inflammation around the interlobular pancreatic duct.

Click the image to see the enlarged image.

  • There is no guidance by arrows.