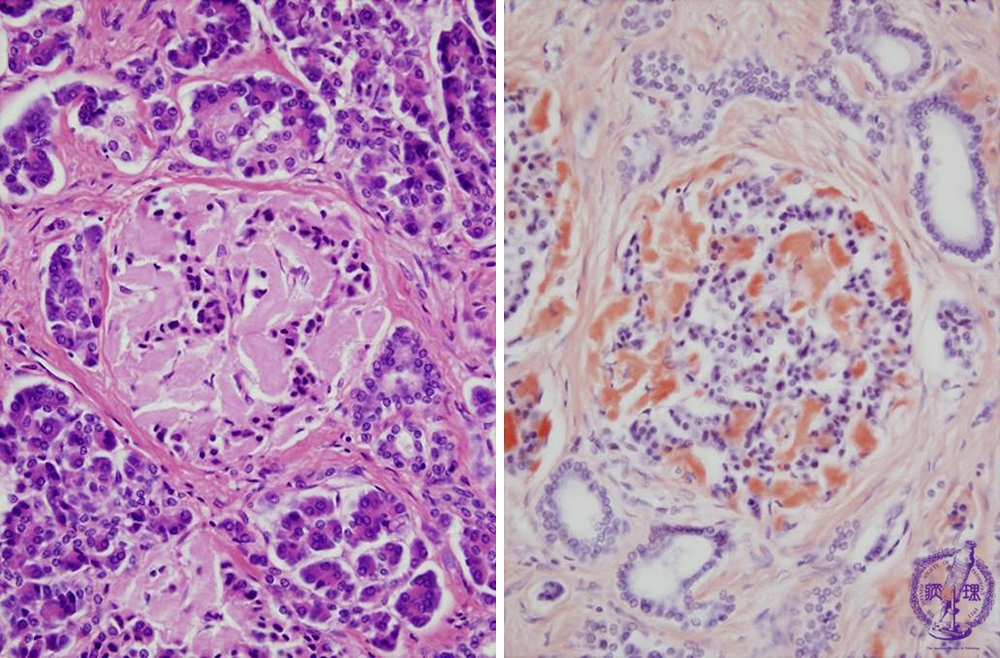
Microscopic findings(HE stain, high power):Deposits of an amorphous, eosinophilic material within the islets of Langerhans contain amyloid proteins/deposits as demonstrated by the positive Congo red stain (right).

Click the image to see the enlarged image.

  • There is no guidance by arrows.