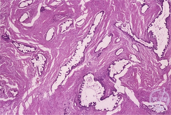
Microscopic findings(HE stain, low power view):Irregular pancreatic ducts proliferate and infiltrate a markedly reactive stroma, histology which is typical of pancreatic cancer.

Click the image to see the enlarged image.

  • There is no guidance by arrows.