- 11.Gallbladder, Pancreas
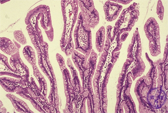
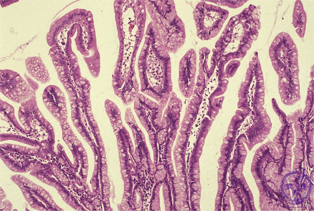
- (8)Pancreatic mucinous neoplasia (IPMN, MCN)
Microscopic view (HE stain, mid-power): (IPMA)The papillary proliferation is lined by tall columnar, mucin rich cells. Histologically, papillae have abundant stroma and the lining epithelial cells contain small, uniform and non-stratified, basally oriented nuclei consistent with moderate atypia (intermediate-dysplasia) IPMN.
Click the image to see the enlarged image.









