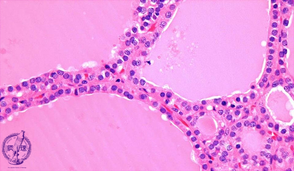
Microscopic findings (HE stain, high power view). Note, the sizes of thyroid follicles is enormously varied. No cytological atypia detected in the follicular cells.

Click the image to see the enlarged image.

  • There is no guidance by arrows.