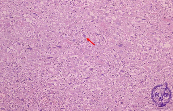
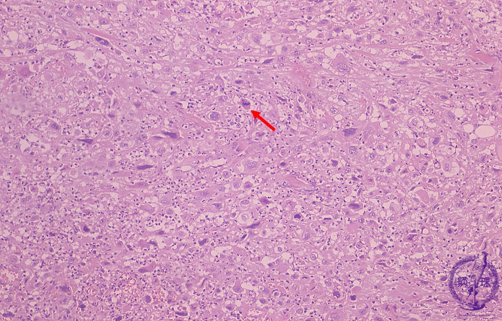
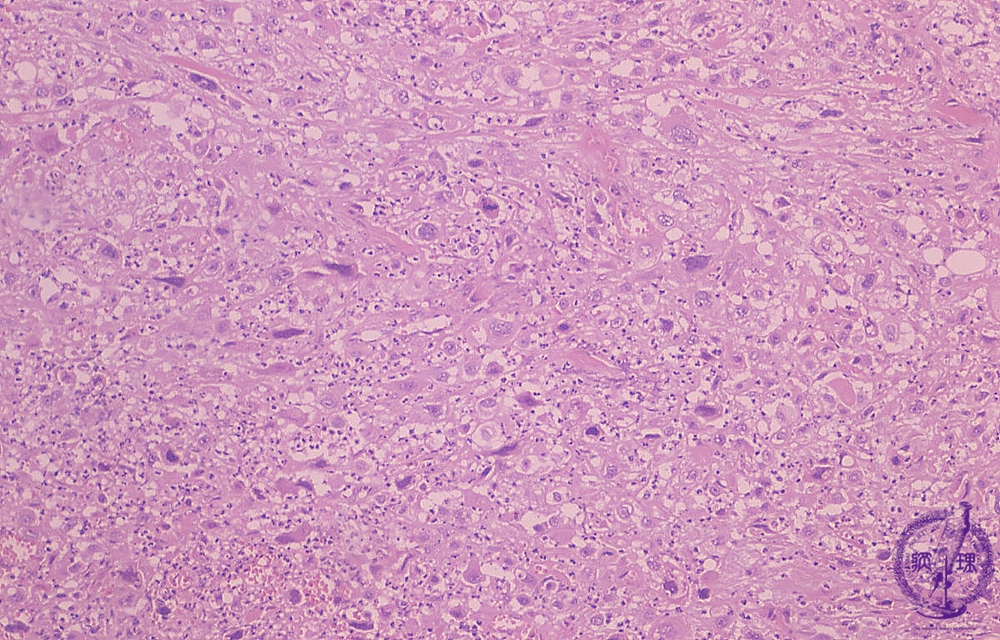
- 13.Endocrine
- (11)Undifferentiated (anaplastic) carcinoma of the thyroid
Microscopic findings (HE stain, middle power view). Pleomorphic tumor cells are arranged in solid architecture with lymphocytic infiltration. A number of mitotic figures are (arrows) detected
Click the image to see the enlarged image.













