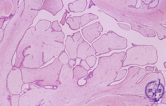
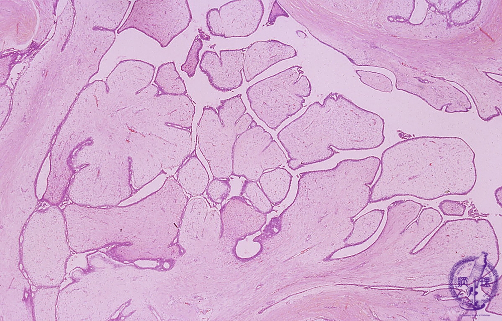
Microscopic image(HE stain, low power view):Both proliferating epithelial and stromal cells form leaf like structures. Proliferative stroma associated with edematous changes.

Click the image to see the enlarged image.

  • There is no guidance by arrows.