- 14.Breast
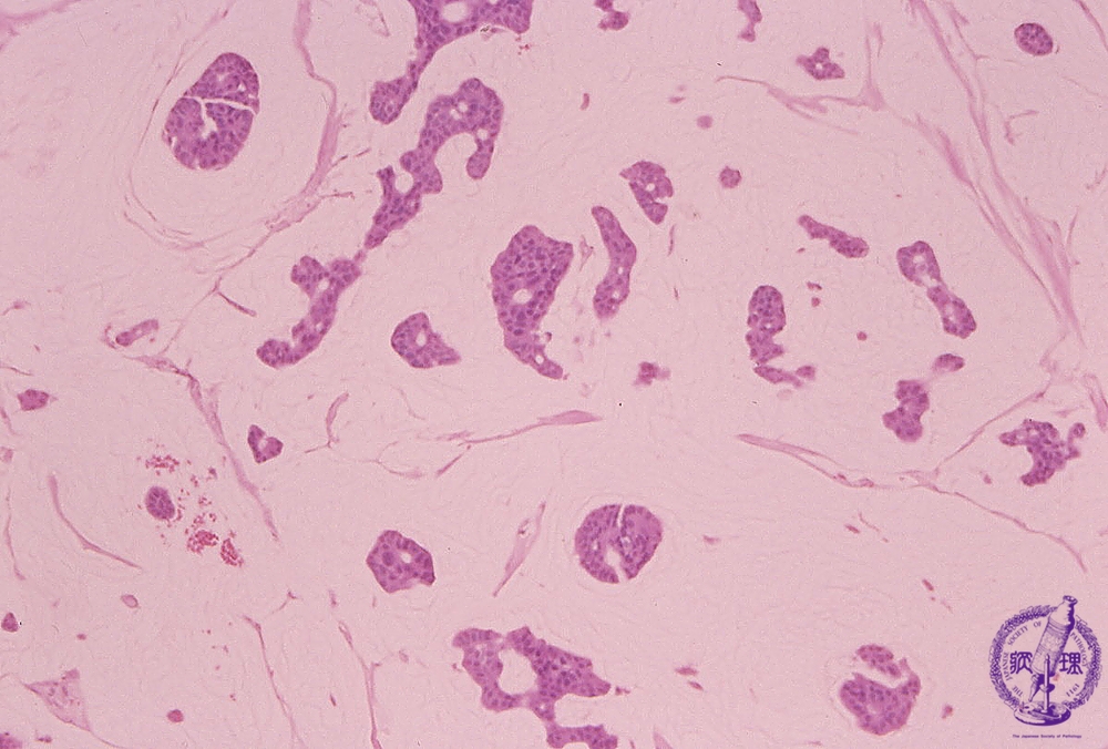
- (8)Mucinous carcinoma
Microscopic image(HE stain, middle power view):Carcinoma cell groups floating in mucin lake. All bright space around cell group fills with mucous. This overproduction of mucous, in vast excess of the number of tumor cell, is indicative of the cells increased mucous production.
Click the image to see the enlarged image.










