- 15.Female genital organs
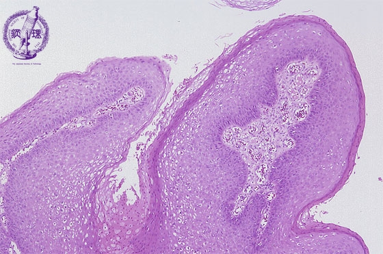
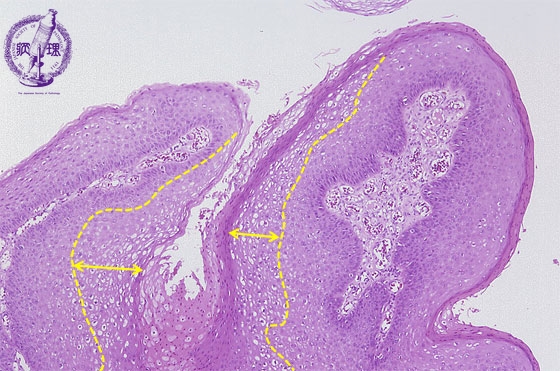
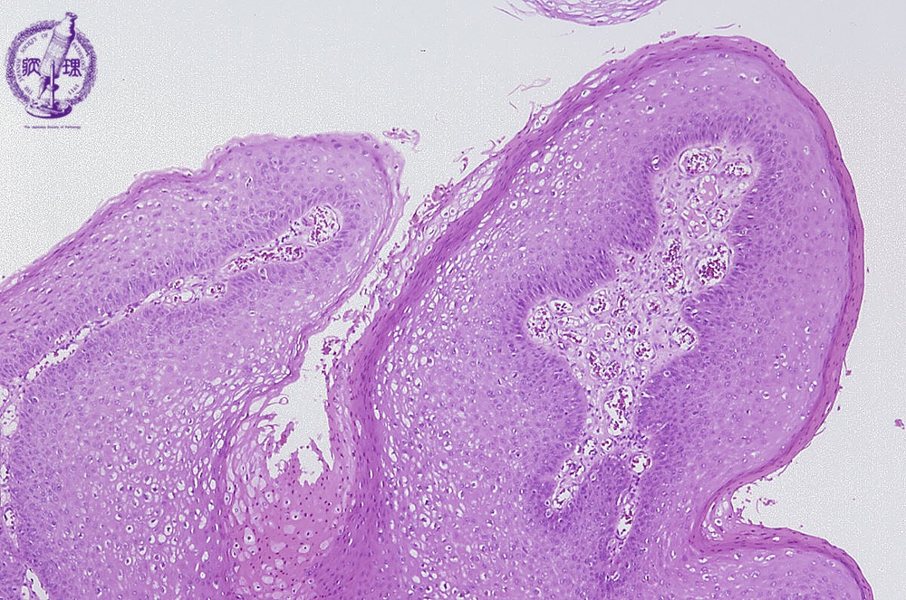
- (1)Condyloma acuminatum of the vulva
Histology (HE stain, low power): Papillary proliferation of squamous epithelium. At intraepithelial surface portion, koilocytosis with clear cytoplasm is detected (surface side of the yellow dotted line).
Click the image to see the enlarged image.












