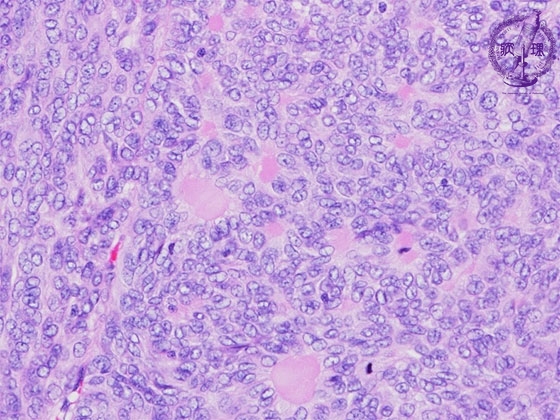
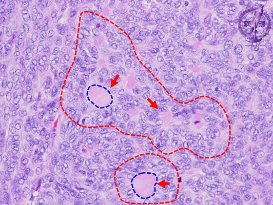
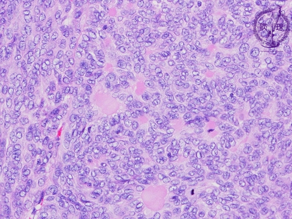
- 15.Female genital organs
- (10)Granular cell tumor
Histology (HE stain, high power): Tumor cells with nuclear groove demonstrated solid growth patterns. Tube-like structure (red dotted line) and numerous Call-Exner bodies (red arrow) are identified. Central hyaline structure represented typical appearance of this lesion (blue dotted line).
Click the image to see the enlarged image.














