- 15.Female genital organs
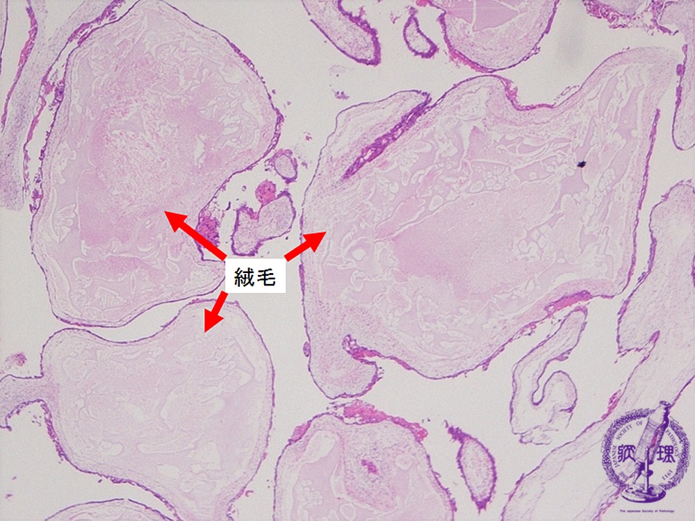
- (13)Hydatidiform mole (complete, partial)
Histology (HE stain, low power): Villi (arrow) enlarged in edematous appearance without interstitial vasculature. Mild proliferation of trophoblasts could be identified here.
Click the image to see the enlarged image.













