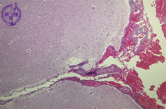
Microscopic findings (H.E. low magnification): Extensive hemorrhage was identified in the subarachnoidal space, but not in the brain parenchyma.

Click the image to see the enlarged image.

  • There is no guidance by arrows.