- 17.Nervous system
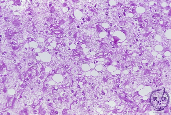
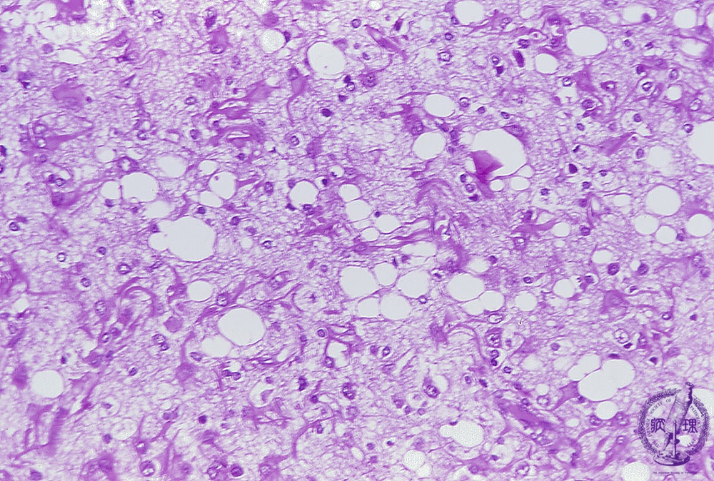
- (6)Creutfeldt-Jacob disease
Microscopic findings (H.E. high magnification) Various-sized vacuolation (spongiosis) was extensively detected in the cortex following loss of neurons, so that the disease was also termed as spongiform encephalopathy. Proliferation of glial cells is also apparent.
Click the image to see the enlarged image.










