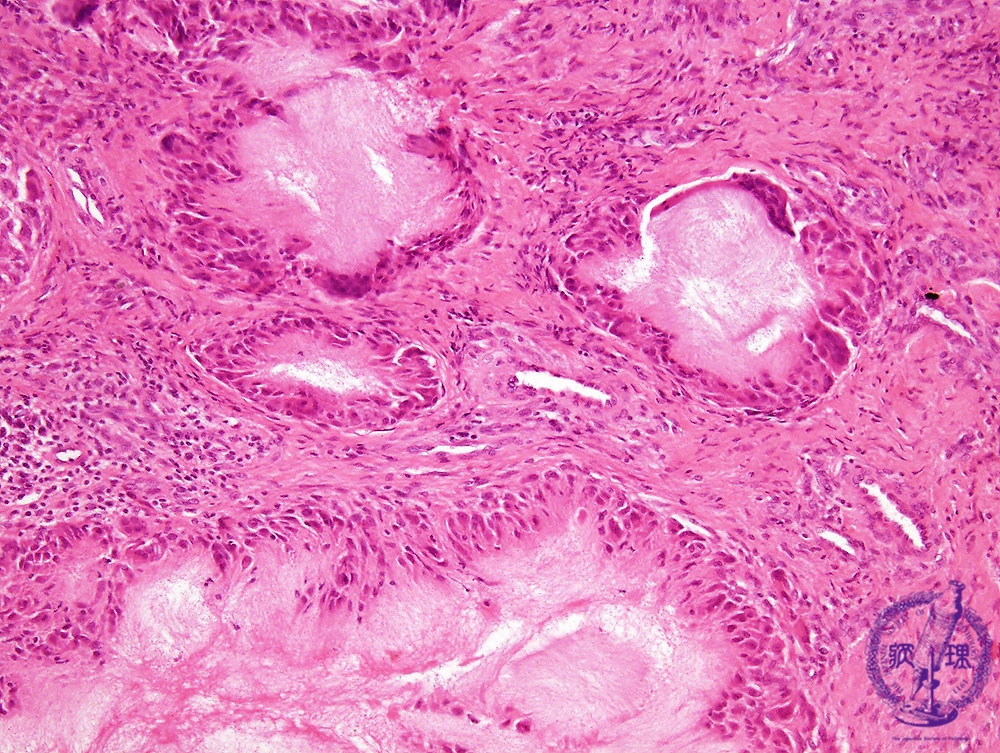
Microscopic view (HE; middle power view): Pale eosinophilic nodules of various size are seen within fibrocollagenous tissue. Foreign body type giant cells and histiocytes surround the nodules.

Click the image to see the enlarged image.

  • There is no guidance by arrows.