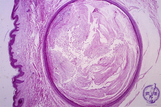
Microscopic findings: The cyst is filled with keratinizing materials. The wall does not contain skin appendages.

Click the image to see the enlarged image.

  • There is no guidance by arrows.