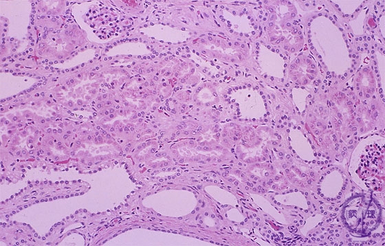
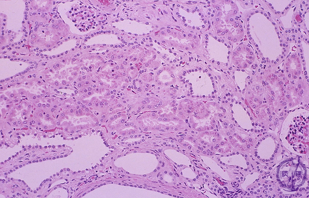
Microscopic view (H&E, low power, high power); All collecting tubules have irregular cylindrical dilation and cyst formation is observed

Click the image to see the enlarged image.

  • There is no guidance by arrows.