- 22.Pediatric pathology
- (6)Hyaline membrane disease・Neonatal respiratory distress syndrome
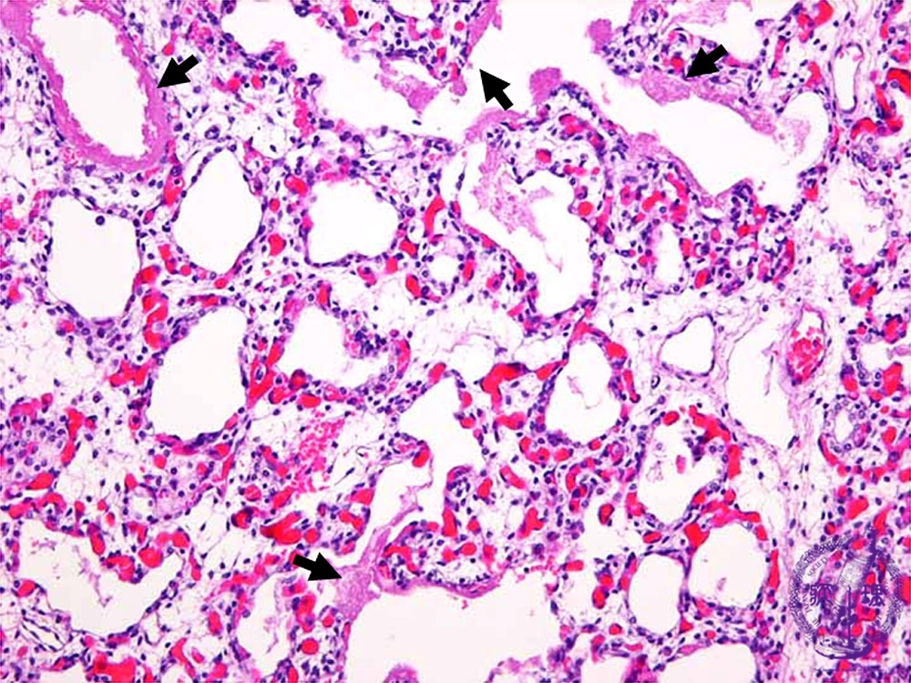
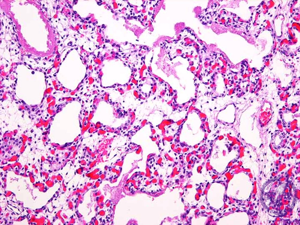
Microscopic view (H&E); The air spaces are lined by an irregular layer of homogenous, finely granular eosinophilic material. It is most commonly seen in premature infants (less than 34 weeks gestation) who are deficient in alveolar surfactant. The alveolar ducts are diffusely lined by hyaline membrane composed of fibrin with necrotic epithelial cells. The alveolar epithelial cells and bronchiolar epithelium are injured and necrotic. The administration of exogenous surfactant at birth is very effective, and it is now uncommon for premature infant to die from RDS.
Click the image to see the enlarged image.











