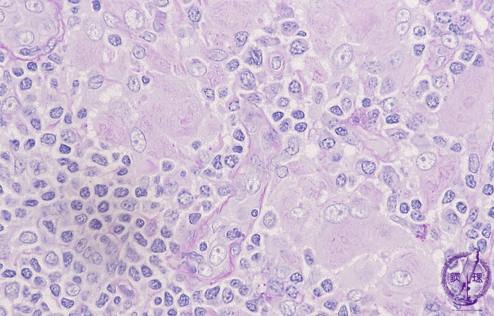
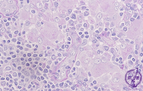
Microscopic view, (PAS staining); The cytoplasm are packed with rod shaped inclusions bound by a single membrane. The inclusions are positive for PAS reaction

Click the image to see the enlarged image.

  • There is no guidance by arrows.