• 23.Cytology
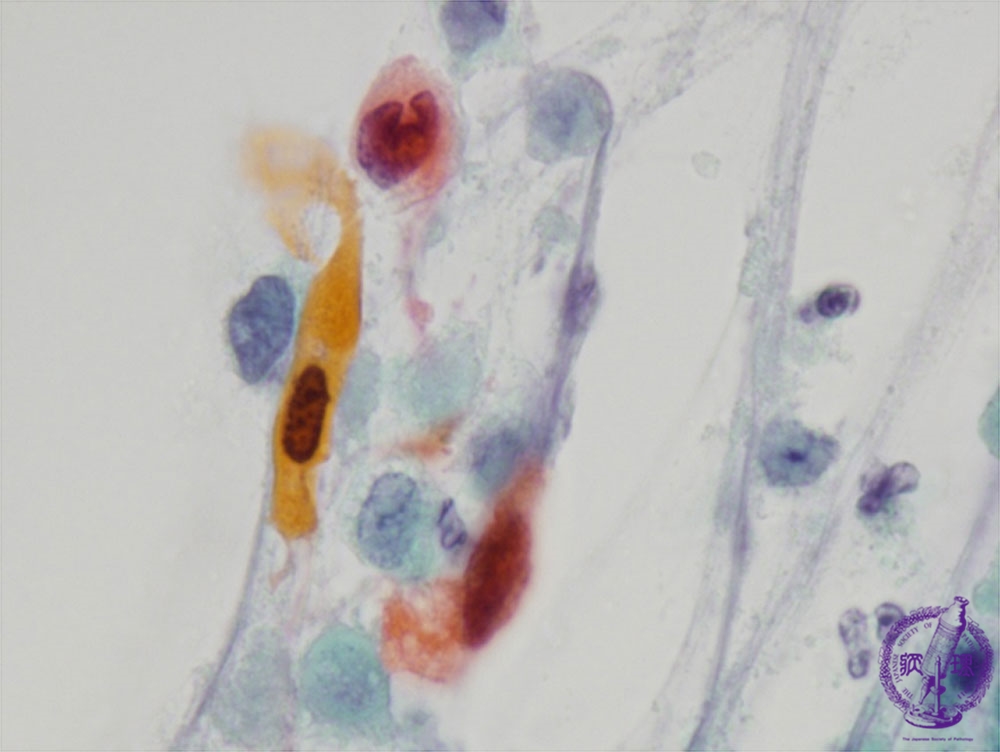
  • (1)The cytology of sputum(squamous cell carcinoma of lung, small cell carcinoma of lung)

Smear of sputum (Papanicolaou stain, high power) The cytoplasm is large and irregularly oval. The cytoplasm is eosinophilic or stained with Orange G. The nucleus is bizarre and vary in size. The condensed and hyperchromatic pyknotic nuclei are seen

Click the image to see the enlarged image.

  • There is no guidance by arrows.