• 23.Cytology
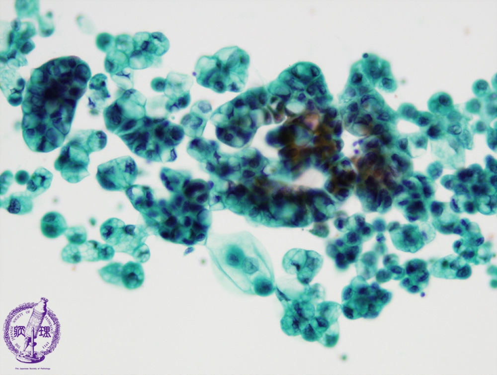
  • (3)Cytology of peritoneal effusion( signet ring cell carcinoma of stomach)

Centrifugal preparation: Papanicolaou stain.The tumor cells with a large mucinous vacuole in the cytoplasm formed small papillary clusters.

Click the image to see the enlarged image.

  • There is no guidance by arrows.